The Winchester Star Awards Winner - 5 Years in a row
How Does Arestin Help with the Treatment of Gum Disease?
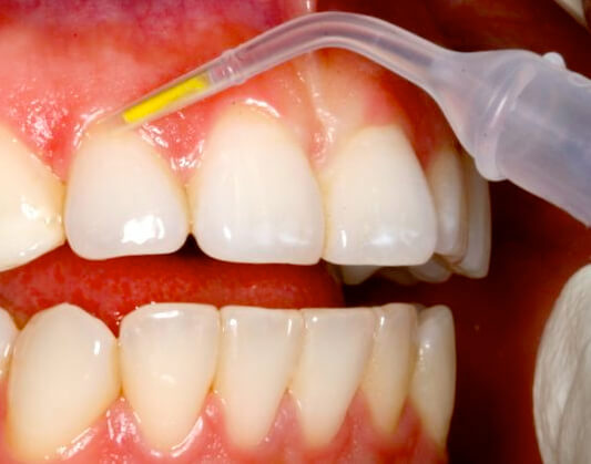
In the past we used to treat moderate to severe gum disease by also including an antibiotic prescription for the patient to take during their gum tissue treatment. Using the antibiotics systemically (ingesting it as a pill) was effective but it took time for the antibiotics to reach the gums since it had to go through your digestive system – and the concentration would be greatly decreased. Today we have a more straightforward approach – we use local administration of the antibiotic instead of systemic. Arestin is in the same class of antibiotics as the pills we used to use but instead we place it right inside the periodontal pocket, which is the site of your infection.
When you have gum disease, the space between the tooth and your gums (called the sulcus) increases in depth and you develop a pocket (the deeper gum area, almost like a pouch). The problem with the pocket being deeper is that your toothbrush and floss have a limit to how deep you can clean. If left untreated, the pocket becomes so deep that it is impossible to clean. The pocket grows deeper and deeper and the tooth becomes loose.


Treating gum disease (periodontal therapy) is done using scaling and root planning (SRP). Scaling and root planing involves the removal of any bacteria, plaque and tartar/calculus from below the gumline. During a routine cleaning (prophylaxis), we only remove buildup from at or above the gumline. This is why scaling and root planing is sometimes called a “deep cleaning.”

Bacteria are the cause of periodontal disease, which is why placing an antibiotic into the pocket, will help improve the success of the periodontal disease treatment. Arestin contains small microspheres (tiny round particles) that we place in the periodontal pocket to kill any bacteria left behind. Arestin continues to kill bacteria for 28 days after it is placed. In order to ensure long-term success, you still have to continue to come in for your regular maintenance appointments. Periodontal disease (gum disease) is like diabetes, it will never go away but together we can manage it.



