The Winchester Star Awards Winner - 5 Years in a row

Some dental problems can affect your dental health immensely. It can impact your bite, the functioning of your teeth and also the look and feel of your gums and teeth. Dental problems can impact your health, your quality of life and your confidence in your smile. A full-mouth reconstruction in Winchester, VA can help you fix dental problems and restore a beautiful smile. With a smile makeover, you can not only change your smile but also upgrade your quality of life.
Reasons to Get a Full Mouth Reconstruction
A dentist near you will examine your mouth carefully to determine whether you need a full mouth reconstruction for improving your oral and overall health. Here are three reasons why a dentist may recommend a reconstruction:
#1 You Have Difficulty Chewing Food
If it is becoming harder for you to chew your food comfortably, there is some issue with your teeth and bite. The minimum requirement for your oral health is for your teeth to function importantly. The most important function of teeth being tearing and chewing food, it should be comfortable and not painful at all. If you find yourself avoiding certain food items because they are difficult to chew, you should consider a full mouth reconstruction.
#2 Your Teeth Ache
Body parts, including teeth, are not supposed to be painful. But if you feel pain even when you are not using your teeth for anything, it is a major red flag. Although you may wish to ignore it, toothache is generally a sign of something serious. Ignoring the issue and putting off treatment could have disastrous oral health consequences.
#3 You Hide Your Smile
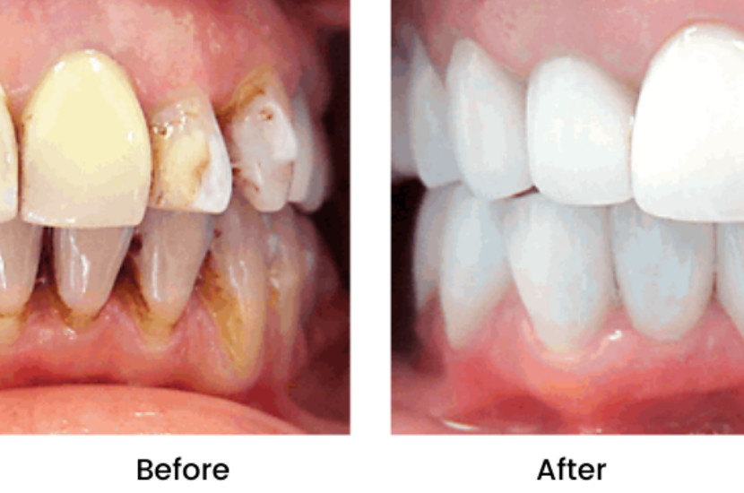
If you feel embarrassed to flaunt your smile, there are high chances that your dental health is suffering. Cosmetic issues are often caused by underlying dental issues. Cosmetic issues of teeth and gums are quite common for patients who have suffered from infections, gum disease, tooth loss or decay in the past. Full mouth reconstruction can help fix your smile.
How Does Full Mouth Reconstruction Help You?
The main aim of a full mouth reconstruction is to restore oral health and the functioning of your teeth. The secondary goal of mouth reconstruction is to make your smile look better. It is often achieved as a positive consequence of your dental treatment.
Better Oral Health
A full mouth reconstruction includes enhancing your oral health by fixing concerns such as:
- Treat tooth decay and fill any cavities
- Remove any infection from tooth and preserve the tooth with a root canal treatment
- Deep cleaning of gum line if there is any gum disease
- Repairing chipped, cracked or broken teeth
- Hiding discolored or stained teeth with crowns to give a natural look
- Replace any missing teeth with dental implants or dental bridges
Enhanced Smile
With modern dental technology and techniques, restorative treatments can improve the appearance of your smile greatly. From bringing the healthy pink color back after gum disease treatment to our natural-looking dental implants and restorations, you’ll already feel and look better than you have in a long time.
But once your mouth is healthy again, you may still have some primarily cosmetic issues to address with your teeth and gums. These issues can be fixed with procedures like orthodontics, whitening, tooth bonding or gum shaping to make your smile look more attractive and healthy.
If you want to change something about your smile, you should schedule a consultation to see if full mouth reconstruction in Winchester VA is the option for you. At Smiles of Virginia Family Dental Center, we are committed to help you rebuild your confidence in your smile.



