The Winchester Star Awards Winner - 5 Years in a row

Teeth Whitening – Teeth Bleaching In Winchester, VA
TEETH WHITENING OR TEETH BLEACHING ARE ONE OF THE MOST ECONOMICAL WAYS TO ENHANCE YOUR SMILE COMPARED TO VENEERS AND CROWNS.
FAMOUS DANISH MUSICIAN VICTOR BORGE ONCE SAID: “THE SHORTEST DISTANCE BETWEEN TWO PEOPLE IS A SMILE.”

EXTERNAL BLEACHING
We offer in-office or at home external bleaching. Studies have shown that at home bleaching results in less sensitivity and more white teeth compared to in-office. So we prefer to use at home bleaching for our patients but we also offer in-office bleaching for those who prefer this method.
For in office bleaching the procedure general takes about 1 hour. We apply a protective barrier to your gum tissue and then very strong bleach to your teeth.
For at home bleaching we take impression of your teeth and then make custom fitted bleaching trays. You can then either wear them for a few hours every day or sleep with them during the night. How long you have to wear them depends on how white you want your teeth, but in general 2-3 weeks is the norm. Once you have your bleaching trays, you can then easily do a touch-up bleaching once or twice a year to keep your teeth bright.
INTERNAL BLEACHING

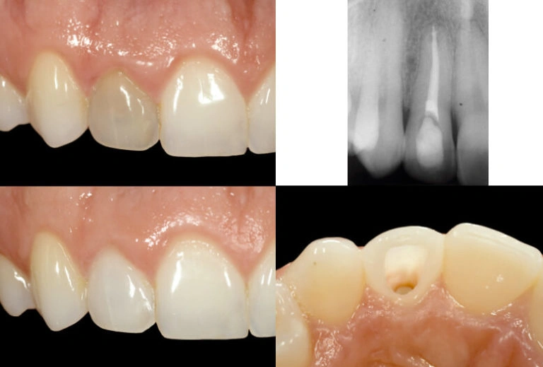
USING INTERNAL BLEACHING TO IMPROVE THE APPEARANCE OF A DARK FRONT TOOTH:
- We place a special material inside the tooth to bleach it from the inside.
- We place a temporary filling on top of the material
- You then walk around with it for 1-2 weeks (hence the name walking bleach).
- When the tooth has achieved a similar color to the neighboring teeth, we remove the bleaching material and place a very white filling to keep the tooth white for as long as possible.
READ OUR WHITENING BLOG POST TO LEARN MORE.
Before and After










