The Winchester Star Awards Winner - 5 Years in a row

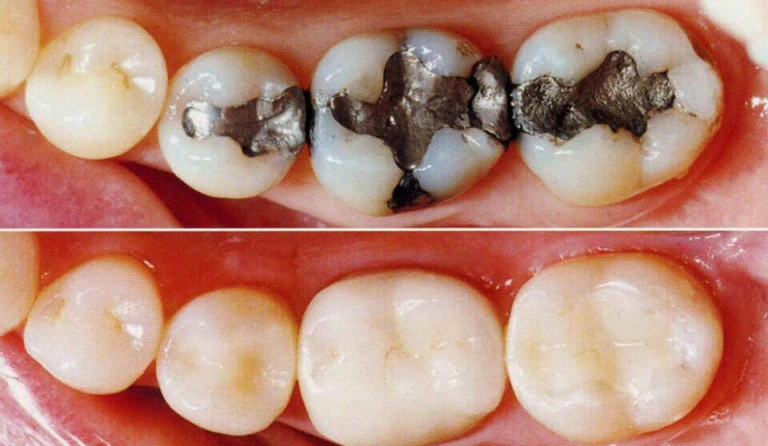
Composite Fillings = White Fillings = Tooth-Colored Fillings
Tooth colored fillings are also called white fillings or composite fillings. These restorations are a fantastic choice for filling cavities because they can rebuild and mimic the natural appearance of tooth structure, and they look great! And unlike the metal-amalgam fillings that were once the standard in dentistry, there is no mercury, and there is less drilling involved.

ADVANTAGES OF WHITE FILLINGS:
- They offer excellent strength.
- They are bonded (glued) to the tooth.
- They have a decreased risk of future breakage.
- They allow us to remove less of your healthy tooth structure, decreasing your future
- risk for further breakdown.
ESTHETICS OF WHITE FILLINGS
In addition to restoring teeth that have fractured or have cavities, composite fillings can also be used cosmetically to change the size, color and shape of teeth in a more conservative way than crowns and veneers. With a veneer, and especially with a crown, removal of more tooth structure is needed, and white fillings often allow us to make aesthetic changes without significant drilling.
However, if a tooth has had a root canal, extensive decay, or a large amount of tooth structure is missing the best option for your tooth might be a crown. We will always provide you with different treatment options so you can choose what fits your budget and preference.

WILL THE COLOR OF THE WHITE FILLING MATCH MY NATURAL TOOTH COLOR?
We use a shade guide to determine the color of your existing teeth. We then choose the composite filling material in a shade that matches your natural tooth color. And in cases where the shade of a tooth is very complex due to stains or other situations, we are able to layer composite fillings so as to match your natural tooth color as closely as possible.
Before and After










