The Winchester Star Awards Winner - 5 Years in a row

Inlays And Onlays In Winchester, VA
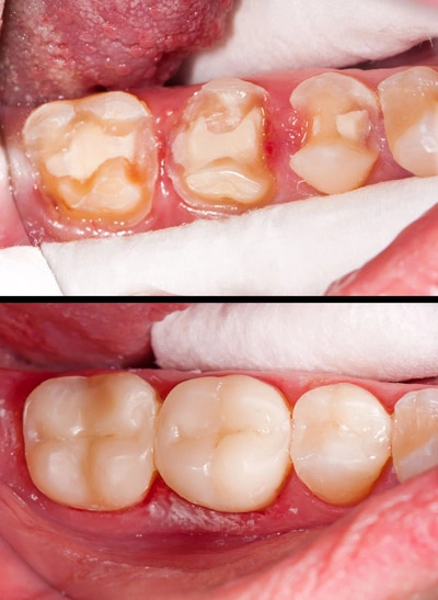
Teeth with large defects or cavities that are not large enough to warrant a crown can be conservatively restored using an inlay or an onlay rather than just a filling.

Inlays And Onlays Are More Conservative Than Crowns And Maintaining More Natural Tooth Structure Is Ultimately Very Beneficial.
The difference between an inlay and an onlay is that an inlay is used to reconstruct a tooth within the cusp tips of the tooth (the bumps/pointy area of your back teeth). An onlay is very similar to an inlay but it covers more of the tooth including part of the cusp tips. Both inlays and onlays can be made of either tooth colored materials (such as porcelain, composite resin, zirconia) or metals such as gold.
Inlays and onlays require two appointments for completion. inlays and onlays
The first appointment will include:
- Removing the decayed part of the tooth
- Making a copy of the area for the lab to fabricate the final inlay or onlay.
- Placing a temporary restoration to seal the tooth.
During the second appointment:
- The temporary will be removed
- Proper fit and feel will be achieved
- The fabricated inlay or onlay will be bonded to the tooth
Before and After









